Wisconsin scientists have documented another disease that’s killing North American frogs.
A team led by the United States Geological Survey’s National Wildlife Health Center in Madison has found severe Perkinsea infections, or SPI, killed a sizable number of frogs in 43 states over a 16-year period.
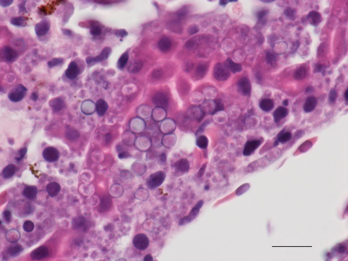
Jeff Lorch, a microbiologist with the National Wildlife Health Center and study co-author, says SPI is caused by a parasite, probably found in water, that kills frogs in their tadpole stage.
News with a little more humanity
WPR’s “Wisconsin Today” newsletter keeps you connected to the state you love without feeling overwhelmed. No paywall. No agenda. No corporate filter.
“When they do become infected, it can invade many of their internal organs. It essentially, at that point, replicates inside of them and replaces most of their tissues with the actual parasite,” Lorch said.
Lorch said since the research on SPI was completed, the parasite has been located inside the bodies of dead frogs in a northern Wisconsin lake. He said potentially all 11 frog species found in the state are vulnerable.
The discovery of the new infection makes for a “big three” of frog diseases: SPI in third place; chytridiomycosis, which is caused by a fungus, in second; and ranavirus infection coming in first. Lorch said these three diseases are on top of several other threats to the amphibians.
“They’re also dealing with habitat loss and destruction, as well as environmental stressors — things like pollution or climate events like droughts that can have significant impacts on their population,” Lorch said.
Lorch said frogs are vital to ecosystems, as they eat many mosquitos and are food for larger predators.
Lead author of the study and USGS scientist, Marcos Isidoro Ayza, said frogs are “exceptional indicators of ecosystem health, as amphibians let us know when something in our environment is going awry.”
At this point, Ayza said, there’s no cure or treatment for SPI.
Wisconsin Public Radio, © Copyright 2026, Board of Regents of the University of Wisconsin System and Wisconsin Educational Communications Board.





